For a moment, my life was separated into before and after. After the first surgery, doctors told me I would never walk again. And at that moment, they were right. But I proved that nothing is impossible. Now I am doing more than just working. I even got back into sports and dance!
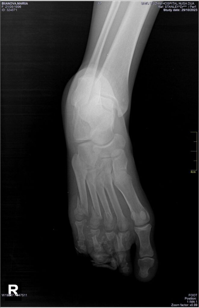
But I do remember that evening. I was lying on the street, watching cars go through, and I was scared they would not notice me and would just run over me. My body was paralysed by pain, so I couldn’t move. I even gave a command to my hand to move, but because I was paralysed by pain, I couldn’t. I thought I was completely smashed. But, thank God, only my right foot was crushed.


One Balinese guy named Roi took me from the street. I was bleeding and I could see my bones. I thought that this only happens in movies. We always think it happens only in movies or to someone else.
I was lucky. After that, many people learned about my story. My insurance first gave a guarantee. After they saw the hospital prices, they said they would not pay. This was true even though my insurance limit was €30,000. I am still arguing with them.
Unfortunately, I know some cases like mine where people didn’t survive. But that is another story.




After everything I went through – three different hospitals, three surgeries, more than $62,000 spent, infection – many people started referring others to me if someone got into trouble in Bali. I have helped more than 40 people in Bali and Thailand cope with obstacles after accidents as much as I could.



I also completed full insurance agent training in Ukraine, but I didn’t stop there. I continued testing insurance providers. I compared prices, terms, special conditions for Asia, and the reliability of each company. And I chose Genki.
In this blog you will find answers to these topics, and also a bit about life in Asia.
Thank you for your trust!
Running macOS and Windows 10 on the Same Computer
Cursus iaculis etiam in In nullam donec sem sed consequat scelerisque nibh amet, massa egestas risus, gravida vel amet, imperdiet…

Mariia’s Reccomendation
Your Reliable Insurance Provider
Save southends for 60$ per month
Must Read
Scientists, Feeling Under Siege, March Against Trump Policies
Cursus iaculis etiam in In nullam donec sem sed consequat scelerisque nibh amet, massa egestas risus, gravida vel amet, imperdiet…
Spend a Dollar on Upcoming iPhone 13, and How to Save More
Cursus iaculis etiam in In nullam donec sem sed consequat scelerisque nibh amet, massa egestas risus, gravida vel amet, imperdiet…

